Descubren causa de enfermedad genética rara, es clave para futuras terapias
La ataxia espinocerebelosa tipo 4 (SCA4), una enfermedad neurológica progresiva, se caracteriza por dificultades en el equilibrio y la marcha

La ataxia espinocerebelosa tipo 4 (SCA4), una enfermedad neurológica progresiva, se caracteriza por dificultades en el equilibrio y la marcha, síntomas que se agravan con el tiempo. Aunque puede aparecer en la adolescencia, suele manifestarse alrededor de los cuarenta o cincuenta años y carece de cura.
Un estudio internacional liderado por neurólogos de la Universidad de Utah, Stefan Pulst y K. Pattie Figueroa, ha identificado la causa genética del SCA4, proporcionando nuevas perspectivas para futuros tratamientos. Este hallazgo fue publicado en la revista ‘Nature Genetics’.
Anteriormente, la causa exacta del SCA4 era desconocida, aunque se sabía que estaba relacionada con un gen específico en un cromosoma. Sin embargo, esta región genética resultó difícil de analizar.
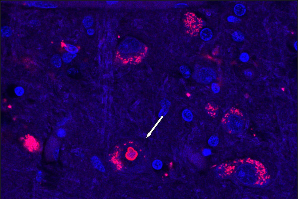
El equipo de investigación comparó el ADN de personas afectadas y no afectadas en varias familias de Utah y descubrió que en los pacientes con SCA4, una sección del gen ZFHX3 era más larga de lo normal debido a una cadena extralarga de ADN repetitivo.
Las células con esta versión anómala de ZFHX3 mostraron signos de enfermedad, presentando dificultades en el reciclaje de proteínas, lo que sugiere un mal funcionamiento en la maquinaria celular.
Esta mutación tóxica podría afectar negativamente a las células nerviosas. Además, se observó que la SCA2, otra forma de ataxia, también interfiere en el reciclaje de proteínas, lo que plantea la posibilidad de que los tratamientos desarrollados para la SCA2 puedan ser útiles para los pacientes con SCA4.
Conocer la causa genética de la SCA4 es crucial para el desarrollo de tratamientos efectivos. Aunque llevará tiempo, este descubrimiento ofrece esperanza para mejorar la calidad de vida de los pacientes afectados. Además, proporciona información valiosa para las familias, que pueden tomar decisiones importantes como la planificación familiar.
Sigue nuestro canal de WhatsApp
Recibe las noticias más importantes del día. Da click aquí
Te recomendamos

Benjamín tiene 10 años y una severa enfermedad que para seguir con vida necesita de un ventilador artificial y un aspirador de secreciones; vive en Ecuador y sus padres iniciarán una campaña mundial para recaudar dinero

Una cepa de gripe aviar nunca antes identificada en seres humanos provoca la muerte de un hombre en Estados Unidos, autoridades intensifican monitoreo

El precio de tener diabetes: Esto le cuesta (en promedio) el tratamiento contra esta enfermedad a los mexicanos

Enfermedad del ‘legionario’ sigue en EEUU: Este estado presenta brote que asciende a los 14 casos y estos son los síntomas

Grupo Healy © Copyright Impresora y Editorial S.A. de C.V. Todos los derechos reservados