Descubren gusano en el cerebro de un hombre que sufría migrañas constantes
El hombre acudió a recibir atención médica y descubrieron que una tenia de cerdo habitaba en su cerebro

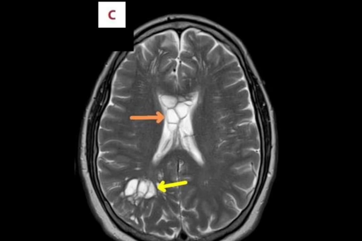
Orlando, Florida.- Un hombre acudió al médico después de padecer migrañas constantes en los últimos meses y que sus medicamentos dejaran de funcionar. Tras varios estudios, las exploraciones revelaron múltiples quistes en ambos hemisferios de su cerebro.
El personal médico confirmó que lo anterior era resultado de una tenia de cerdo que habitaba en su cerebro e irritaba el tejido de su cráneo. El paciente fue diagnosticado con la infección parasitaria neurocisticercosis.
La neurocisticercosis es una enfermedad parasitaria que afecta al sistema nervioso central. Se produce cuando una persona ingiere huevos de la tenia porcina (Taenia solium). Estos huevos pueden encontrarse en carne de cerdo cruda o poco cocida.

Cuando una persona ingiere alimentos contaminados por huevos con la larva del cisticerco, las secreciones del estómago hacen que los huevos eclosionen y salgan las larvas. Estas entran en el torrente sanguíneo y se distribuyen por todo el organismo, incluso por el encéfalo y la médula espinal.
El hombre aseguró que prefería el tocino cocido ligero y no crujiente, según escribieron los médicos en el American Journal of Case Reports.
La preferencia del paciente por el tocino poco cocido podría haber contribuido a la infección. Los médicos del paciente advierten que es importante tener en cuenta que vivir con alguien que tiene tenia del cerdo y consumir alimentos preparados por esa persona también puede aumentar el riesgo de esta enfermedad.
Sigue nuestro canal de WhatsApp
Recibe las noticias más importantes del día. Da click aquí
Grupo Healy © Copyright Impresora y Editorial S.A. de C.V. Todos los derechos reservados