Ven a más jóvenes con daño pulmonar
Detectan a personas hasta de 25 años con cáncer en pulmón a causa del tabaquismo.

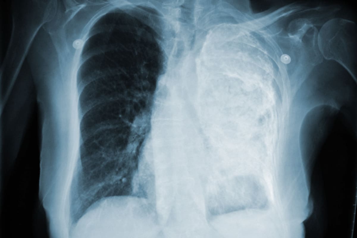
Mexicali, B.C.- El principal rango de edad en las que se detecta el cáncer de pulmón es en personas de 60 a 70 años.
Sin embargo, cada vez se ven más pacientes jóvenes, desde 50 años inclusive desde los 30 años, advirtió Larissa Sáinz Núñez, especialista en neumología del Instituto Mexicano del Seguro Social.
“No trato de ser alarmista, pero hemos visto que cada vez son más jóvenes, hemos tenido pacientes desafortunadamente de 30 años, de 25 años, que tienen cáncer de pulmón”.
Al año en los hospitales del IMSS en Baja California se brindan hasta mil consultas anuales a pacientes con cáncer de pulmón, de los cuales el 60% son hombres y el 40% mujeres, quienes han demostrado un aumento en el consumo de tabaco.
Durante 2024 se registraron 222 muertes por cáncer de pulmón, es el tercer tipo de cáncer que más cobra vida en Baja California, solo después del cáncer de mama y el cáncer de colon, según el Instituto Nacional de Estadística y Geografía (Inegi).
En el mismo año hubo 60 casos nuevos de cáncer de pulmón, mientras en lo que va del 2025, suman 21 casos nuevos y 36 defunciones (la cifra contempla los casos de prevalencia). A nivel nacional el cáncer de pulmón es la tercera causa de muerte en hombres y la quinta en mujeres.
Sigue nuestro canal de WhatsApp
Recibe las noticias más importantes del día. Da click aquí

Grupo Healy © Copyright Impresora y Editorial S.A. de C.V. Todos los derechos reservados