¿Cómo se puede aumentar la estatura?
Este sistema se usa en más de 60 países y ayuda a alargar y corregir deformaciones en los huesos.

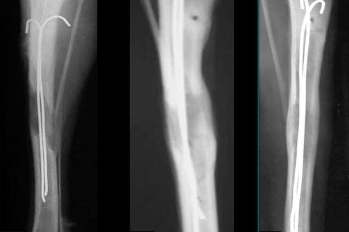
Los niños con deformaciones en los huesos se les atiende por medio del llamado método Ilizárov, que consiste en colocar un implante y varillas que se fijan en una extremidad y se interconectan.
Ahora, este procedimiento fue mejorado por investigadores de la Universidad Politécnica de Tomsk (UPT), en Rusia, quienes desarrollaron un implante con una aguja de titanio que permite aumentar la estatura.

PROCEDIMIENTO PARA AUMENTAR LA ESTATURA
Dicha aguja se inserta dentro del hueso y sirve como un conductor para ayudar a regenerar de manera más rápida el nuevo tejido óseo. Estos implantes están hechos como los tradicionales: de acero y compuestos BT6 (aleación de titanio con aluminio y vanadio), pero están recubiertos con otro material que se asimila al tejido óseo natural para tener una mejor tasa de supervivencia (plástico fluorocarbonado piezoeléctrico e hidroxiapatita).
La ingeniería de tejidos y la medicina regenerativa no sólo hacen posible la recuperación de tejidos, sino que ya permiten crear tejidos y órganos para sustituir a los dañados. El tipo de implante ayuda a acelerar la regeneración ósea y, como resultado, reduce el período de rehabilitación. Después de la regeneración exitosa, se retira el implante.
Caso clínico
En 2014, un paciente entrevistado por la BBC, comentó que debido al complejo que tenía con su estatura viajó al Centro Ilizárov de traumatología restaurativa y ortopedia en Kurgan, Rusia. Después de una dolorosa operación, en la que tras fracturarle el hueso de la tibia creció 5,5 centímetros y gastó 16 mil euros entre operación y pasaje.
Su precio, diez mil dólares, no es ninguna barato–no muy por debajo de lo que cuesta en Milán o La Habana–, aunque en Estados Unidos puede costar ocho veces más. En la India es una cirugía muy solicitada. “Llegar a ser alto es una cuestión muy emocional”, explicó para El Confidencial, el doctor Amar Sarin, quien desde 2010 calcula haber operado a unas trescientas personas en Nueva Delhi. Esta operación de alargamiento de piernas cuesta en India unos 15.000 dólares.

Con información de Muy Interesante.
Sigue nuestro canal de WhatsApp
Recibe las noticias más importantes del día. Da click aquí
Te recomendamos

Jóvenes de la Generación Z consideran que las mujeres deben obedecer siempre a sus esposos y que los hombres deben tener la última palabra en las decisiones, resultando ser más conservadores que sus padres en cuanto a los roles de género, pareja y sexualidad, según un estudio que alertó sobre retrocesos en igualdad

Un simio de 43 años distinguió entre jugo real e imaginario en un experimento científico, lo que sugiere que la capacidad de imaginar y simular situaciones (fundamento cognitivo de fenómenos como el sarcasmo) podría no ser exclusiva de los humanos

Un hombre de 82 años es estudiado por la ciencia porque tiene el cuerpo de un joven sano de 30: ¿Cómo influyen la genética, el entrenamiento constante y la alimentación en su condición física?

¿Las redes sociales están haciendo infelices a los jóvenes? Esto revela el Índice Mundial de la Felicidad

Grupo Healy © Copyright Impresora y Editorial S.A. de C.V. Todos los derechos reservados