Descubre cómo evitar el sangrado de encías
Las encías pueden sangrar por múltiples motivos, así como cambios hormonales asociados a la pubertad, embarazo o ciclo menstrual, entre otros.

También puede surgir esta incomodidad por factores genéticos o el estrés. Así cómo por tomar determinados medicamentos y la falta de nutrientes como las vitaminas C y K.
El sangrado no tiene por qué ser abundante ni ir acompañado de otros síntomas. Lo que nos permitirá identificar este problema es prestar atención a la frecuencia con la que aparece la sangre.
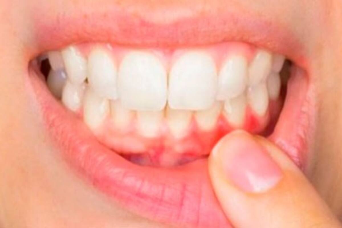
Ahora bien, si aparece placa bacteriana en los dientes, mal aliento o sangrado de las encías al cepillarnos o masticar pueden ser los síntomas de sufrir gingivitis.
¿Qué es la gingivitis?
Esta es una leve enfermedad de las encías, que causa irritación, enrojecimiento e inflamación. Es decir, es una reacción inflamatoria de la encía, de carácter reversible.
Se presenta en todas las edades de los sujetos dentados y es muy común padecerla en algún momento en nuestra vida.
Es importante tomar esta enfermedad periodontal en serio y tratarla lo antes posible, cuanto antes busques atención médica, más probabilidades tendrás de revertir el daño causado por la gingivitis y de evitar su evolución a una periodontitis.
Su exploración y tratamiento será clave para poder recuperar la salud de las encías y prevenirlas.
Remedios:
-Cepillarse los dientes después de cada comida
-Hacerlo durante unos 3 minutos, y es mejor si para ello utilizas un dentífrico con flúor, por ser antibacteriano.
-Utiliza hilo dental y cepillos interdentales
-Esto permitirá acabar con los posibles restos de comida que quedan entre las piezas y que, al endurecerse, pueden actuar como una cuña.
-Realiza una limpieza en el higienista dental una vez al año
-Esto es muy importante, ya que permite eliminar la acumulación de sarro.
-Mastica alimentos crudos, como frutas y verduras
-Este simple ejercicio estimula las encías y los dientes
-Reducir el consumo de alcohol y cuidar mucho la alimentación, reduciendo la ingesta de alimentos con alto contenido de azúcar. Las vitaminas A y C ayudan a evitar el sangrado.
Con información Informe 21.
Sigue nuestro canal de WhatsApp
Recibe las noticias más importantes del día. Da click aquí
Grupo Healy © Copyright Impresora y Editorial S.A. de C.V. Todos los derechos reservados