Cuáles son los síntomas del sarampión
Los síntomas del sarampión aparecen de 7 a 14 días después de tener contacto con el virus y generalmente incluyen fiebre alta, tos, moqueo y lagrimeo.

CIUDAD DE MÉXICO.-Los síntomas del sarampión aparecen de 7 a 14 días después de tener contacto con el virus y generalmente incluyen fiebre alta, tos, moqueo y lagrimeo. El sarpullido del sarampión aparece de 3 a 5 días después de los primeros síntomas.
De 7 a 14 días después de una infección por sarampión: aparecen los síntomas
El sarampión no es simplemente un sarpullido leve. El sarampión puede ser peligroso, especialmente para los bebés y los niños pequeños. El sarampión generalmente comienza con los siguientes síntomas:
- Fiebre alta (puede subir hasta más de 104 °F (40°C) ), tos,
- moqueo (rinitis aguda o romadizo), y
- ojos enrojecidos y llorosos (conjuntivitis).
¿Es grave?
El sarampión puede ser peligroso, especialmente para los bebés y los niños pequeños. Llame al médico inmediatamente si cree que usted o su hijo han estado expuestos al sarampión.
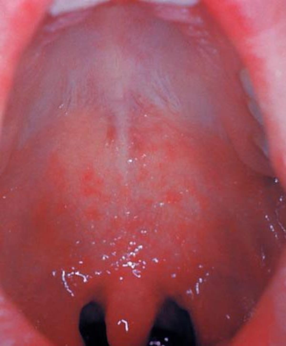
De 2 a 3 días después del comienzo de los síntomas: manchas de Koplik
Pequeñas manchas blancas (manchas de Koplik) podrían aparecer dentro de la boca dos a tres días después del comienzo de los síntomas.

De 3 a 5 días después del comienzo de los síntomas: sarpullido del sarampión
De tres a cinco días después de que comienzan los síntomas, aparece un sarpullido. Generalmente, este empieza como puntos rojos y planos en la cara de la persona en la parte donde comienza el cabello y se extiende hacia el cuello, el tronco, los brazos, las piernas y los pies.
Sobre los puntos rojos y planos pueden aparecer unos bultos pequeños. Los puntos pueden unirse a medida que se extienden desde la cabeza hacia el resto del cuerpo. Cuando aparece el sarpullido, la fiebre puede aumentar a más de 104 grados Fahrenheit (40°C).

El sarampión y la vacuna que lo previene
La mejor manera de protegerse contra el sarampión es con la vacuna contra el sarampión, las paperas y la rubéola (también llamada vacuna triple vírica o MMR). Los médicos recomiendan que todos los niños reciban la vacuna MMR.
¿Por qué mi hijo debe recibir la vacuna MMR?
La vacuna MMR:
- Protege a su hijo del sarampión, una enfermedad potencialmente grave, como también de las paperas y la rubéola.
- Evita que su hijo tenga un sarpullido incómodo y fiebre alta debido al sarampión.
- Evita que su hijo falte a la escuela o a la guardería infantil (y evita que usted falte al trabajo para cuidar a su hijo enfermo).
¿Es segura la vacuna MMR?
Sí. La vacuna MMR es muy segura y eficaz para prevenir el sarampión (así como las paperas y la rubéola). Las vacunas, al igual que cualquier otro medicamento, pueden tener efectos secundarios. Sin embargo, la mayoría de los niños que reciben la MMR no presenta ningún efecto secundario.
¿Cuáles son los efectos secundarios?
La mayoría de los niños no presenta ningún efecto secundario a causa de la vacuna. Los efectos secundarios que se producen son por lo general muy leves, como fiebre, sarpullido, dolor o hinchazón en el lugar de la inyección, o dolor y rigidez pasajeros en las articulaciones (mayormente en los adolescentes y adultos). Los efectos secundarios más graves son raros. Estos pueden incluir fiebre alta, la cual puede causar convulsiones.
¿Hay algún vínculo entre la vacuna MMR y el autismo?
No. Los científicos en los Estados Unidos y otros países han estudiado cuidadosamente la vacuna MMR y ninguno de ellos ha encontrado un vínculo entre el autismo y la vacuna MMR.
Fuente: CDC
Sigue nuestro canal de WhatsApp
Recibe las noticias más importantes del día. Da click aquí
Te recomendamos

Aumentan los casos de sarampión en el mundo: OMS alerta riesgo de nuevos brotes por baja vacunación

Alerta por sarampión: confirman cinco casos en Mexicali

La OMS advierte que la desconfianza en vacunas provoca brotes de difteria, aumento de sarampión y riesgo de meningitis, urge a líderes a frenar desinformación y pide a gobiernos usar evidencia científica para proteger a la población

Aumentan casos de sarampión en México: ¿cómo se contagia, cuáles son sus complicaciones y cuál es la mejor manera de protegerte a ti y a tu familia?


Grupo Healy © Copyright Impresora y Editorial S.A. de C.V. Todos los derechos reservados