Hijo de Poncho de Nigris es hospitalizado de emergencia ¿Qué le pasó?
A través de sus redes sociales, Poncho de Nigris dio a conocer que su hijo menor fue intervenido de emergencia.

Poncho de Nigris y su esposa, Marcela Mistral, utilizaron sus redes sociales recientemente para informar a sus seguidores sobre el estado de salud de su hijo menor, Toñito, quien sufrió una fractura en el brazo. El incidente ocurrió el miércoles 10 de julio, y según explicó el propio Poncho de Nigris, decidieron compartir la situación para evitar malentendidos.
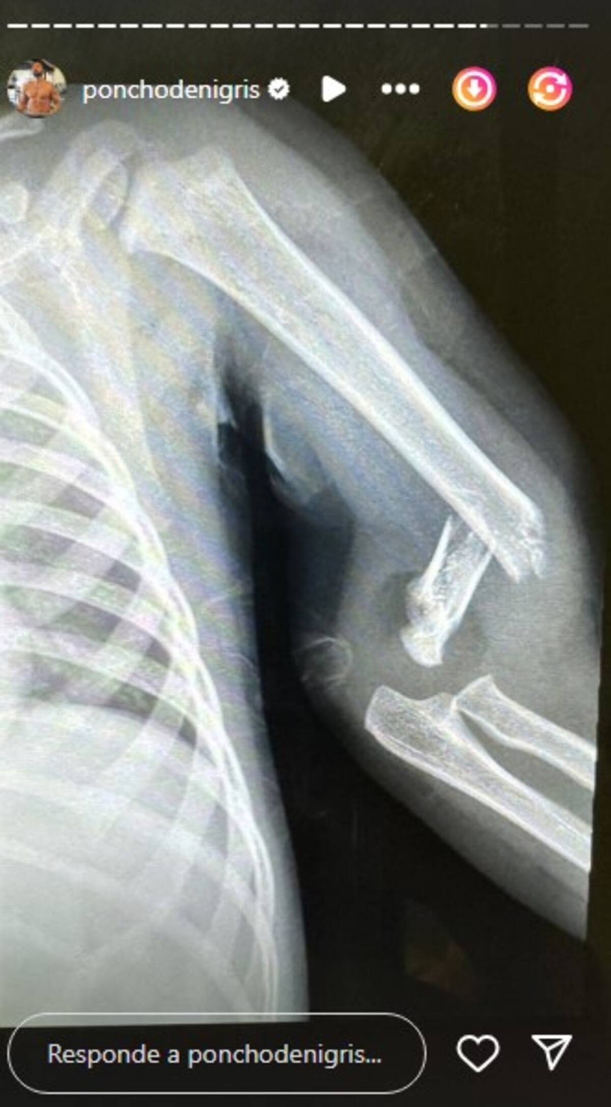
El ex participante de ‘La Casa de los Famosos México’ contó en sus redes sociales una radiografía donde se evidencia la fractura ósea que afectó a Toñito. Posteriormente, a través de sus historias de Instagram, informó que su hijo tuvo que ser sometido a una operación para arreglar el brazo del pequeño.

Poncho contó que fue un accidente que le pasaría a cualquier niño, ya que se encontraba en el exterior jugando con sus hijos, Ponchito, el mayor estaba en la bicicleta, él estaba en el scooter con su hija y en un descuido Toñito se cayó resultando en una fractura de brazo por lo que rápidamente se trasladaron al hospital para que recibiera atención.
¿Cómo se encuentra Toñito?
La pareja siguió compartiendo detalles a lo largo del día sobre el estado de salud de Toñito, detallaron que sería operado el miércoles por la noche y el jueves por la mañana aseguraron que todo había salido muy bien y que Toñito se encontraba fuera de peligro.

Tanto Poncho como Marcela agradecieron a sus seguidores por estar al pendiente de la situación y por sus buenos deseos para la pronta recuperación de Toñito, ambos aclararon que no se trata de negligencia, sino solamente de accidentes que suelen pasar con los niños el cual se pudo solucionar.
“Todo está bajo control. Estos son accidentes que ocurren y forman parte del proceso de crecimiento. Lo importante es que tiene solución y estamos enfocados en su pronta recuperación. Toñito es un niño fuerte y optimista.”
Sigue nuestro canal de WhatsApp
Recibe las noticias más importantes del día. Da click aquí
Te recomendamos

Sol León acepta pelear con la novia de su exesposo en el ring tras la propuesta directa de Poncho de Nigris

Poncho de Nigris llora al revelar que su hija Ivanna no le habla desde su fiesta de XV años

Shiky reaparece y cuenta su experiencia tras salir de terapia intensiva: “Sigamos rezando”

¿De qué trata “La Pijamada Viral”? El nuevo proyecto de Aldo de Nigris, ganador de “La Casa de los Famosos México 3″

Grupo Healy © Copyright Impresora y Editorial S.A. de C.V. Todos los derechos reservados